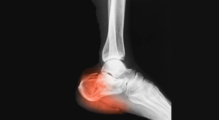
Patní ostruha a plantární fascitida
Patní ostruha
Příčiny:
Ostruha patní kosti trápí lidi používající nesprávnou obuv, dále ty, kteří patu trvale přetěžují chybným stereotypem chůze nebo běhu. Ostruha patní kosti může být pozůstatek poranění paty a taktéž součástí skupiny revmatických chorob.
Příznaky:
K nejčastějším příznakům ostruhy patní kosti patří bodavá bolestivost v patní krajině, která se objevuje při nášlapu a mnohdy i při pouhém doteku paty a je lokalizována vprostřed paty, může vystřelovat do plosky. Dále se může objevit zarudnutí paty, otok a později i různé nárůstky v oblasti úponu Achillovy šlachy - "Haglundova pata"
Terapie:
- laser v kombinaci s ultrazvukem - doporučíme gelovou podpatěnku nebo tvorbu ortopedických vložek. Dále pracujeme s koreckcí klenby nožní a s úpravou stereotypu chůze. Relaxujeme plantární fascii masáží, mobilizujeme periferní klouby plosky nohy. Vše lze doplnit kineziotapingem.
Pokud tyto léčebné procesy nemají výsledek, nebo je již klient absolvoval jinde a bez efektu aplikujeme rázovou vlnu.
- rázovou vlnu aplikujeme jak na oblast paty, tak na oblast plantární fascie a lýtkového svalu, protože i tyto oblasti nohy můžou mít na vznik patní ostruhy velký vliv. Stejně jako v předchozím případě se věnujeme klenbě nohy a stejným fyzioterapeutickým technikám.
Pacient absolvuje 5-8 sezení, dle závažnosti stavu. Někdy pomohou 2-3 aplikace. Rázovou vlnu vždy spojujeme s aplikací laseru, který podpoří hojivý proces.
Plantární fascitida
Příčiny bolestí
Plantární fascie (aponeuróza)- je vazivová vrstva podílející se na podepření podélné klenby nohy. Bolestí většinou trpí lidé kteří klenbu nohy přetěžují dlouhodobým stáním, nebo může být příčinou obtíží běh ve špatné obuvi. Náchylnější je vysoká klenba nohy, kde inklinuje plantární vaz k většímu zatížení.
Příznaky
Bolest lokalizovaná do plosky v oblasti paty může znamenat plantární fascitidu, způsobenou fibrotickými změnami plantární fascie. Při dlouhodobých chronických zánětech může dojít až k jejímu přetržení.
Terapie:
- Laser v kombinaci s ultrazvukem, ortopedické vložky, reflexní masáže plosky nohy
- U těžších stavů využíváme rázovou vlnu v kombinaci s laserem, doplněné o kineziotaping plosky
V obou případech je nutné doplnění fyzioterapie a ortopedických vložek. Důležité je podepřít klenbu nohy tak, aby došlo k odtížení plantárního vazu. Jinak je aplikovaná přístrojová terapie bez efektu. Po odeznění bolesti je nutné začít s opětovným posílením plosky nohy, lýtkového svalu, korekci stereotypu chůze a běhu. Jinak se obtíže mohou vracet.
Máte nějaké otázky? Chcete se objednat na terapii?